歯周病治療例
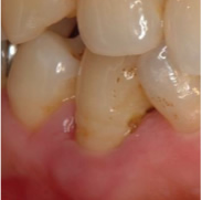
軽度歯周炎(慢性歯肉炎)
矯正治療希望で来院された20代女性:検査の結果、慢性歯肉炎であることがわかる。
検査時のレントゲン・歯周ポケットの深さ


治療内容:口腔清掃指導 + 歯肉縁上スケーリング 歯冠研磨
【 染めだし時 】

| 治療前 | 治療後 |
|---|---|
![]() |
![]() |
中等度歯周炎(慢性歯周炎)
歯肉の腫脹を主訴に来院 50代 男性:検査の結果、慢性歯周炎であることがわかる。
検査時のレントゲン・歯周ポケットの深さ


治療内容:口腔清掃指導 + 歯肉縁上スケーリング SRP
| 歯周基本検査後 | ブラッシング(歯磨き)指導 |
|---|---|
![]() |
![]() |
| ブラッシング(歯磨き)指導 | スケーリング後 |
![]() |
![]() |
| S.R.P後 | |
![]() |
基本治療の効果
| 治療前 | →→→ | 治療後 |
|---|---|---|
![]() |
![]() |
![]() |
| 治療前 | →→→ | 治療後 |
|---|---|---|
![]() |
![]() |
![]() |
各段階での歯肉の変化を並べてみました。
歯肉辺縁、特に歯間乳頭部歯肉は発赤および腫脹が消え、炎症が改善されました。
これにより、歯肉の退縮が見られます。
初診時の段階でここまでイメージして歯周基本治療は進めていく必要があります。
治療前後の歯周ポケットの数値の変化
初診時

スケーリング終了時

初診時

歯周外科後

| 治療前 | 治療後 |
|---|---|
![]() |
![]() |
中等度歯周炎(慢性歯周炎)
歯肉からの出血を主訴に来院 50代 女性: 検査の結果、慢性歯周炎であることがわかる。
| 治療前 |
|---|
![]() |
| 歯周基本治療終了時 |
![]() |
| 治療後 |
![]() |
歯周外科処置
上顎左側臼歯部 再生療法 |
上顎前歯部 再生療法 |
![]() |
![]() |
下顎右側臼歯部 再生療法 |
下顎左側臼歯部 再生療法 |
![]() |
![]() |
レントゲン検査 - 10枚法
| 治療前 | 治療後 |
|---|---|
![]() |
![]() |
治療前後の歯周ポケットの数値の変化
検査時

治療後

重度歯周炎(慢性歯周炎)
歯の動揺を主訴に来院 50代 男性: 検査の結果、慢性歯周炎であることがわかる。
| 治療前 |
|---|
![]() |
| 歯周基本治療終了時 |
![]() |
| 治療後 |
![]() |
歯周外科処置
上顎右側臼歯部 |
上顎左側臼歯部 |
![]() |
![]() |
下顎右側臼歯部 |
下顎前歯部 |
![]() |
![]() |
レントゲン検査 - 10枚法
| 治療前 | 治療後 |
|---|---|
![]() |
![]() |
治療前後の歯周ポケットの数値の変化
検査時

治療後

重度歯周炎(慢性歯周炎)
上顎前歯部の動揺を主訴に来院 50代 女性: 検査の結果、慢性歯周炎であることがわかる。
| 治療前 |
|---|
![]() |
| 歯周基本治療終了時 |
![]() |
| 治療後 |
![]() |
歯周外科処置
上顎前歯部 |
下顎前歯部 |
|
![]() |
![]() |
![]() |
レントゲン検査 - 10枚法
| 治療前 | 治療後 |
|---|---|
![]() |
![]() |
治療前後の歯周ポケットの数値の変化
検査時の数値

治療後




















































